
CASE
2026年4月13日
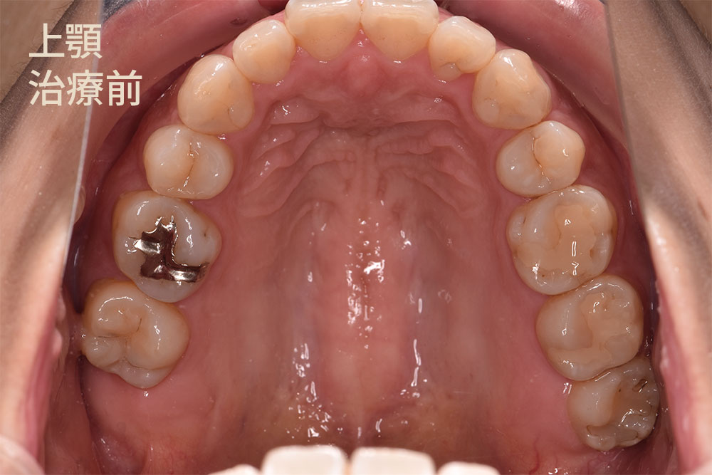
30代女性で銀歯を白い歯にしたいとのことでご来院されました。銀歯で治療されている歯は5箇所ありました。ご本人はいつ治療をしたか覚えていらっしゃらないくらい治療をしてから期間が経過していました。今回は銀歯の範囲に応じて、小さな箇所にダイレクトボンド治療、銀歯の大きな箇所(隣の歯と接している)へはセラミックインレー治療を適用できる判断し、治療を開始しました。
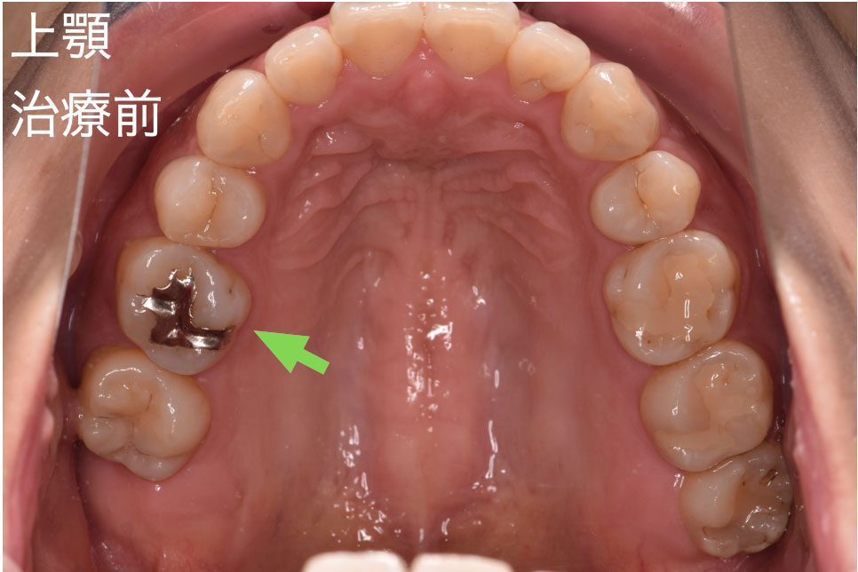
右上第一大臼歯(緑矢印)の咬む面に銀歯があるのがわかります。一見すると異常はないように見えます。

実際に銀歯の中を外してみると、そこには虫歯がありました。
上の写真の茶色の箇所が虫歯でした(赤い矢印)。銀歯の隙間から新たに虫歯になっていました。マイクロスコープを用いて虫歯を的確に除去しました。写真で見ていただいている歯を取り囲むブルーの部分は、ラバーダム防湿と言います。
このラバーダム防湿を使用する理由は、お口の唾液などから湿度を減らし接着剤の効能を向上させるために当院では使用しております。ダイレクトボンディング治療は、治療の名称にも使われている直接(ダイレクト)に歯に接着剤を介して高強度の自由診療専用歯科用レジンを接着させる治療方法です。ダイレクトボンド治療にラバーダム防湿を組み合わせることで、接着力が向上し、その結果治療した詰め物が長持ちすることに繋がります。最後に治療後の写真です

下の銀歯の治療はダイレクトボンド治療とセラミックインレー治療でそれぞれ治療した症例を供覧いただきます。
セラミックインレー治療のメインはセラミックスです。ダイレクトボンド治療との違いは、適用症例が異なります。セラミックインレー治療はダイレクトボンド治療と比べて、治療をする歯の範囲が大きくなります。今回の症例のように隣の歯に及ぶ銀歯での治療をされている場合、強度の面でセラミックインレー治療を適用します。( 黄色い矢印 )

セラミックインレーは治療回数は2回です。治療の1回目にセラミックスインレーの型取りを行います。そして2回目にセラミックインレーを接着剤を用いて、歯に装着します。治療の期間はおおよそ3週間です。
セラミックインレーを歯に装着する際も、ダイレクトボンドと同様にラバーダム防湿を行います。やはり、ラバーダム防湿をしないとセラミックインレーは強固に歯にくっついてくれません。セラミックインレー治療がより永くお使いいただけるように当院ではラバーダム防湿を必須で行っております。
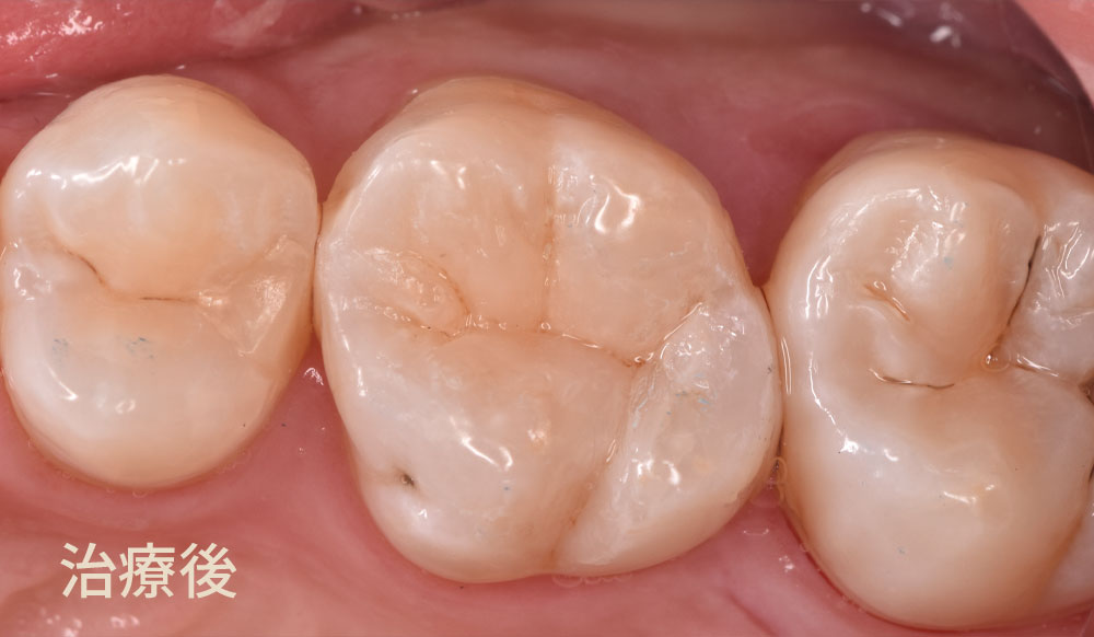
治療後の写真はこちらです。奥がダイレクトボディング治療、手前がセラミックインレー治療です。

今回はダイレクトボンド治療・セラミックインレー治療の二つの治療をご紹介しました。それぞれ適用できる範囲によって治療方法が変わります。その歯の治療にとって有効な治療方法を当院ではご提供します。また両者の治療はメタルフリー治療の一つでもあり、主訴にもありました金属を使わない最新の治療方法です。
今回の症例をご覧いただき、小さな金属が奥歯にある方で見た目が気になる、メタルフリー治療をしたいという方はお気軽にご相談にいらしてください。
また今回の治療でポイントとなるのはラバーダム防湿です。ラバーダム防湿は本来、精密根管治療(マイクロエンド)で口腔内の菌が治療中に歯の中に入らないようにする、感染防御のために使用されていました。しかし、最近はラバーダム防湿の「防湿」という観点から、接着剤を使うダイレクトボンド・セラミックインレー治療での使用が推奨されるようになりました。私も治療を提供する立場として、ラバーダム防湿を駆使することでより治療の精度を向上させてくれる手技だと確信しています。当院では今後もラバーダム防湿を用いて、ダイレクトボンド・セラミックインレー治療を提供していく所存です。
最後に治療を受けていただいた方から、「自分の歯のように元通りになってとても嬉しい」と言っていただけて、治療を提供できた喜びを感じました。歯科治療は地味な作業が多いですが、その細かな箇所に自分のできる治療の最大限の技術をこだわって今後も治療をご提供していきたいと思っています。

治療後の写真を見ても、金属がなくご自分の歯に色が近い状態で綺麗に治療ができました。治療後もメインテナンスに真面目に通っていただけており、治療も長持ちしてくれると思います。
今回は5本の歯を治療しました。それぞれの治療は全て自由診療です。
ダイレクトボンディング治療(3本):132,000円
セラミックインレー治療(2本):231,000円
(再診料、型取り費用含む)
治療費合計:363,000円
※2024年7月時点、現在治療費改定
欠けることがある
再度虫歯になることがある
まれにセラミックが外れる
メタルフリー治療、審美治療も当院でマイクロスコープを駆使して精密に・丁寧に治療を行なっております。細部までこだわって治療を日々意識して歯科治療に従事しております。皆様の歯が綺麗にそして、永く健康なお口の環境を整えられるようにサポート致します。
東京神楽坂歯科
院長 菊地英樹